Nuovo anticorpo rallenta progressione glioblastoma e riduce iperattività cerebrale indotta dal tumore

Lo studio, pubblicato sulla rivista Cell Communication and Signaling, è stato condotto da un team internazionale di ricerca guidato dall’Università di Padova in collaborazione con il Cnr-IbbcUn team i...

A cura di Blogger Blogger
11 settembre 2025 11:30
Nuovo anticorpo rallenta progressione glioblastoma e riduce iperattività cerebrale indotta dal tumore -
Condividi

Lo studio, pubblicato sulla rivista Cell Communication and Signaling, è stato condotto da un team internazionale di ricerca guidato dall’Università di Padova in collaborazione con il Cnr-Ibbc

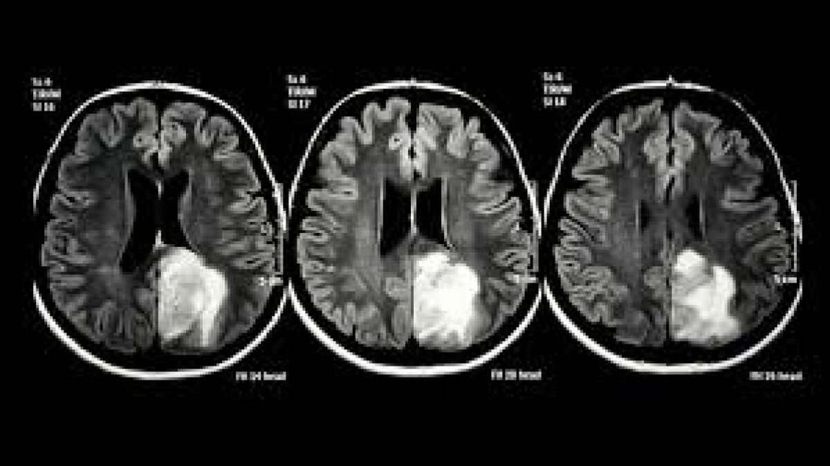
Un team internazionale di ricercatori guidato da Fabio Mammano, docente al Dipartimento di Fisica e Astronomia dell’Università di Padova e associato con incarico di ricerca all’Istituto di biochimica e biologia cellulare del Consiglio nazionale delle ricerche (Cnr-Ibbc) Cnr, ha sviluppato una nuova terapia a base di anticorpi che si è dimostrata efficace nel rallentare la crescita del glioblastoma, la forma più aggressiva di tumore cerebrale negli adulti, con una sopravvivenza media dopo la diagnosi inferiore ai 15 mesi. Oltre a ostacolare la progressione tumorale, il trattamento riduce anche l’iperattività neuronale causata dal tumore, una condizione spesso associata a crisi epilettiche nei pazienti.

Il glioblastoma è notoriamente difficile da trattare. In questo studio, pubblicato sulla rivista scientifica Cell Communication and Signaling, i ricercatori hanno mirato a un bersaglio molecolare preciso: i canali emisomici delle connessine (connexin hemichannels), che nei tumori sono iperattivi e rilasciano segnali pro-tumorali come ATP (Adenosin Trifosfato, una molecola energetica essenziale per la crescita e la proliferazione delle cellule) e glutammato.

Utilizzando colture cellulari derivate da pazienti e un modello murino rappresentativo della malattia, i ricercatori hanno testato un anticorpo monoclonale chiamato abEC1.1, in grado di bloccare selettivamente alcune connessine (Cx26, Cx30 e Cx32). I risultati sono stati:
riduzione della migrazione e dell’invasività delle cellule tumorali
inibizione del rilascio di ATP e glutammato
riduzione significativa del volume tumorale e aumento della sopravvivenza nei topi
normalizzazione dell’attività sinaptica anomala indotta dal tumore

“È la prima volta che un anticorpo terapeutico si dimostra capace di contrastare contemporaneamente la crescita del glioblastoma e l’iperattività neuronale che il tumore induce nei tessuti circostanti”, spiega Mammano (Università di Padova e Cnr-Ibbc). “Questo approccio apre la strada a nuove strategie terapeutiche che mirano non solo alle cellule tumorali, ma anche alle loro interazioni patologiche con l’ambiente cerebrale”.

“Con questo studio abbiamo chiaramente evidenziato l’importanza di contrastare specificamente i componenti molecolari che attivano e rafforzano la comunicazione tra le cellule tumorali ed il tessuto circostante, alimentando la proliferazione incontrollata del glioblastoma”, aggiunge Daniela Marazziti, ricercatrice del Cnr-Ibbc e coautrice del lavoro.

L’anticorpo è stato somministrato sia come proteina purificata sia tramite terapia genica con vettori virali AAV (virus adeno-associati), una modalità che potrebbe consentire effetti terapeutici duraturi con una sola somministrazione. Lo studio rafforza l’idea che i canali emisomici delle connessine siano un bersaglio farmacologico promettente per il trattamento del glioblastoma. La tecnologia è oggetto di brevetto in contitolarità tra l’Università di Padova, il Cnr, l’Università degli Studi di Milano e la ShanghaiTech University.

La ricerca è stata condotta in collaborazione con istituzioni accademiche in Italia e Cina ed è stata finanziata da Ministero dell’Università e della Ricerca (PRIN), Fondazione Cariparo, Fondazione Giovanni Celeghin, ShanghaiTech University e Fondazione Umberto Veronesi.