Sindrome di Down: è necessario prevenire i danni al DNA

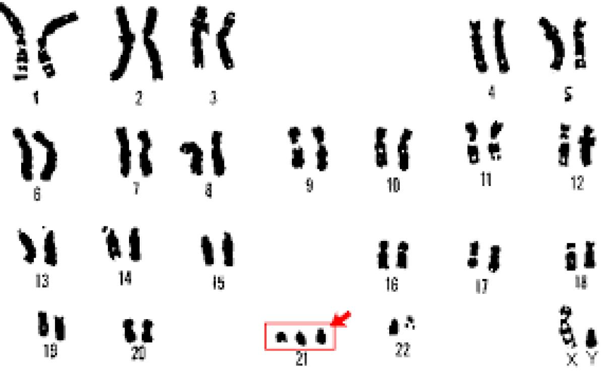
La sindrome di Down, o Trisomia 21, è caratterizzata dalla presenza di una copia extra del cromosoma 21, uno sbilanciamento nel corredo genetico che risulta nell’aumento dell’espressione di alcuni gen...

A cura di Pippo Pippo
07 novembre 2015 15:55
Sindrome di Down: è necessario prevenire i danni al DNA -
Condividi

La sindrome di Down, o Trisomia 21, è caratterizzata dalla presenza di una copia extra del cromosoma 21, uno sbilanciamento nel corredo genetico che risulta nell’aumento dell’espressione di alcuni geni localizzati su questo cromosoma e che si traduce poi in varie forme di disabilità intellettuale, di invecchiamento precoce, nella propensione a sviluppare una patologia simile all’Alzheimer o alcuni tipi di leucemia.

“L’anomala espressione dei geni associati al cromosoma 21 causa uno squilibrio nel funzionamento di alcune proteine che regolano il metabolismo dell’ossigeno, dando luogo allo ‘stress ossidativo’, ovvero un accumulo dei prodotti di scarto del metabolismo stesso, forme molecolari altamente reattive e tossiche per le cellule”, spiega Ennio Prosperi dell’Istituto di genetica molecolare del Consiglio nazionale delle ricerche (Igm-Cnr) di Pavia. “Si ritiene che gli aspetti patologici della sindrome di Down siano correlati con un aumento dello stress ossidativo, che può danneggiare diversi componenti cellulari ed in particolar modo il DNA. La nostra ricerca si è concentrata sulla capacità delle cellule dei pazienti Down di far fronte a questo ‘stress’, e su altri aspetti sinora non chiari come l’insorgenza temporale e le conseguenze di questi danni”.

Lo studio, condotto da ricercatori dell’Igm-Cnr e del Dipartimento di scienze del farmaco dell’Università degli studi di Pavia, è stato pubblicato sulla rivista Mutation Research (Fundamental and Molecular Mechanisms of Mutagenesis).

“Abbiamo analizzato alcuni parametri indicatori della difesa cellulare dallo stress ossidativo in fibroblasti fetali, provenienti dalla Biobanca dell’Ospedale Galliera di Genova, e in quelli ottenuti da pazienti adulti, e li abbiamo poi confrontati con fibroblasti ottenuti da individui sani di pari età”, chiarisce Daniela Necchi dell’Università di Pavia. “In particolare abbiamo studiato la capacità delle cellule a segnalare la presenza di un danno al DNA (indotto sperimentalmente) e a ripararlo. I risultati mostrano che i meccanismi di risposta ai danni al DNA sono attivati anche in assenza di uno danno indotto, sia nelle cellule fetali sia in quelle di pazienti adulti, suggerendo che le cellule dei soggetti Down possano essere esposte a un aumentato stress ossidativo già nello stadio fetale”.

“La ricerca dimostra inoltre che le cellule dei pazienti Down sono meno capaci a riparare i danni ossidativi a causa di un accumulo anomalo di fattori della riparazione del DNA, la cui origine rimane da chiarire”, conclude Prosperi. “Da queste informazioni emerge la necessità di una maggiore salvaguardia dall’esposizione a fattori di rischio, come gli agenti chimici e fisici di natura genotossica, non solo dei pazienti Down ma anche delle future madri con diagnosi accertata, allo scopo di ridurre l’insorgenza di patologie correlate al danno ossidativo ed associate alla sindrome di Down. Infine, è importante approfondire gli studi sull’utilizzo precoce di antiossidanti, già in corso in diversi paesi, per prevenire più efficacemente l’accumulo di stress ossidativo nei pazienti Down”.

Didascalia immagine: Visualizzazione delle lesioni di tipo ossidativo nel DNA di cellule del derma (fibroblasti) da paziente Down, rispetto a cellule di individuo sano. L’immagine ottenuta mediante microscopia in fluorescenza mostra i nuclei cellulari contenenti il DNA (in blu) e la presenza delle lesioni ossidative (indicate dalla freccia) evidenziate mediante reazione immunofluorescente (in verde). La barra bianca corrisponde ad un centesimo di mm.