Insulina e nanoparticelle per combattere l’Alzheimer
11 marzo 2016 13:17
L’inizio della menopausa svelato dal Dna
11 marzo 2016 12:02
Trovato nuovo ruolo per la proteina p53 nel metabolismo dei tumori
09 novembre 2015 17:56
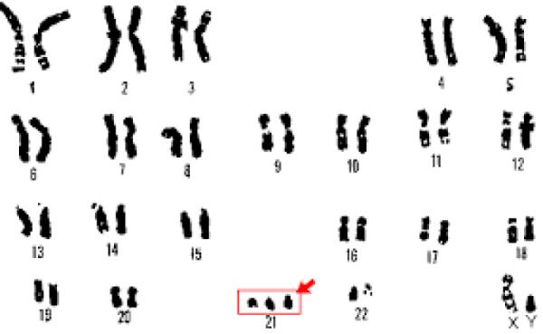
Sindrome di Down: è necessario prevenire i danni al DNA
07 novembre 2015 15:55
Sindrome di Brugada: un importante passo avanti
08 ottobre 2015 17:23
Alzheimer: la demenza senile è la terza causa di disabilità per gli italiani…
10 settembre 2015 16:46
Un modello matematico spiega la recidiva del carcinoma prostatico
07 settembre 2015 15:10
Arriva il glutine digeribile
01 luglio 2015 20:54
L’intestino umano? Si è adattato a inquinanti e antibiotici
24 giugno 2015 20:24
Quando la dislessia è dovuta ai geni
19 giugno 2015 16:59
La zanzara tigre
17 maggio 2015 20:18
Tumore del colon retto: scoperto un gene ‘mordi e fuggi’
03 dicembre 2014 08:28
Ipossia: il cervello è meno vigile
28 novembre 2014 21:07
Parkinson: scoperte le possibili terapie per le complicazioni motorie
21 novembre 2014 20:55
Malattie rare: primo farmaco per la Malattia di Cushing
04 novembre 2014 20:34
I Ficodindia aiuto per il sovrappeso e diabete
26 ottobre 2014 20:10
Tumore del polmone: le nuove terapie migliorano sopravvivenza e qualità di vita
14 ottobre 2014 18:26
Emicrania, cefalea: dai rimedi della nonna alle cure contro il mal di testa
13 luglio 2014 17:12
La cannella: alleata dei diabetici
26 giugno 2014 06:55
Il carciofo potrebbe essere la nuova arma contro il tumore causato dall'amianto
25 giugno 2014 20:14
3.7°